Ровные зубы и правильный прикус без лишнего стресса
Элайнеры, брекеты, диагностика и сопровождение ортодонта в одной клинике
Первичная консультация + диагностика за 1 визит
Лечение под ваш случай
3D-сканирование и фотопротокол
Подбираем решение по возрасту
Комфортная оплата поэтапно

Перед началом лечения проводим комплексную диагностику, чтобы точно определить состояние зубов, прикуса и подобрать эффективный способ коррекции.

3D-сканирование и цифровой анализ зубов
Создаём точную цифровую модель зубов и прикуса без дискомфорта. Это помогает увидеть полную клиническую картину и подобрать оптимальный вариант лечения.
Оценка прикуса и положения зубов
Определяем особенности прикуса, положение зубов и степень их смещения, чтобы подобрать правильную тактику лечения.
Фотопротокол и анализ улыбки
Оцениваем эстетику улыбки и пропорции лица, чтобы добиться не только правильного прикуса, но и красивого результата.
Индивидуальный план лечения
На основе диагностики составляем подробный план и подбираем оптимальную систему: элайнеры или брекеты.

Элайнеры
Flexiligner Esthetic

Элайнеры
Flexiligner Simple

Элайнеры
Flexiligner PRO

Брекеты
Элайнеры
Незаметное выравнивание зубов

Практически не видны на зубах
Можно снимать во время еды
Комфорт без боли и натирания
Легко ухаживать за зубами
Подходят для взрослых и подростков
Исправляют даже сложные нарушения прикуса
Постоянно работают без снятия
Подходят для любого возраста
Разные варианты: металлические, эстетические
Брекеты
Максимальная эффективность при сложных случаях

БЕСПЛАТНО подберём лечение и покажем результат заранее
Оставьте заявку — подберём лечение под ваш случай и бюджет
Запишем вас на ближайшее удобное время
Каждый результат — это индивидуальный план лечения и работа врача-ортодонта


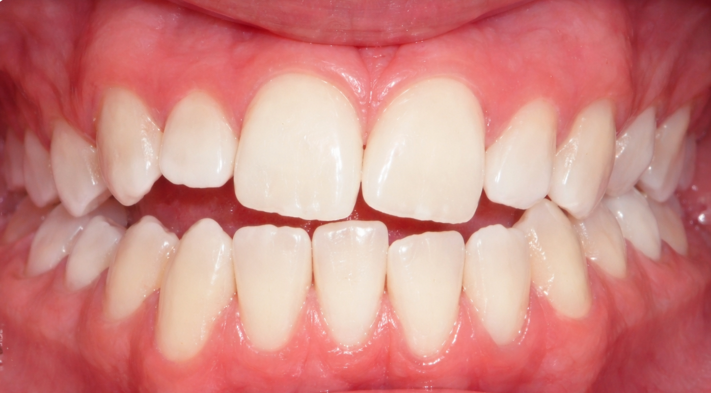
До
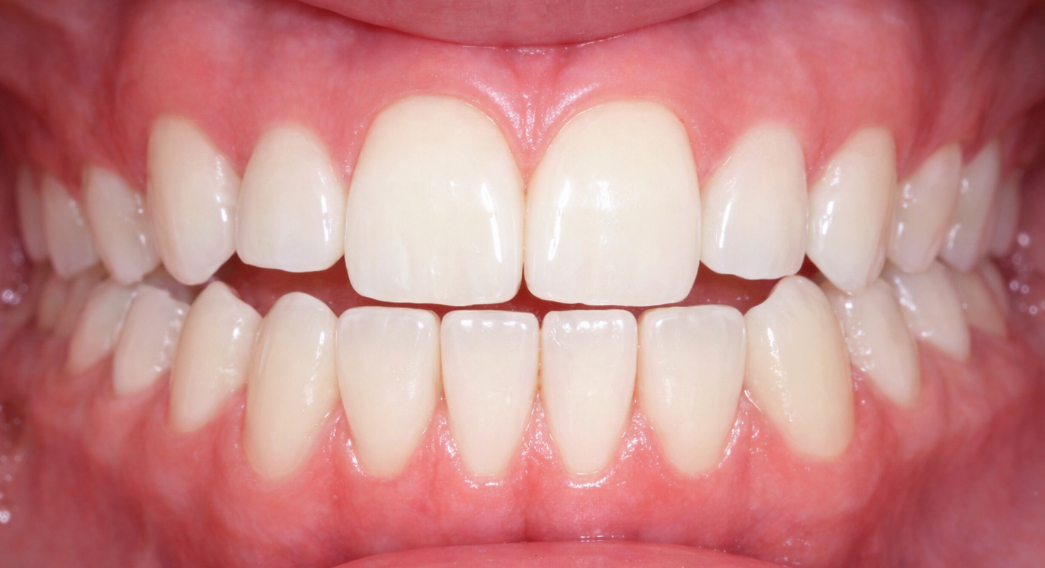
После
Съехавший ряд зубов
Зубы со временем могут менять положение. Если есть свободное пространство, они начинают смещаться, заполняя его.
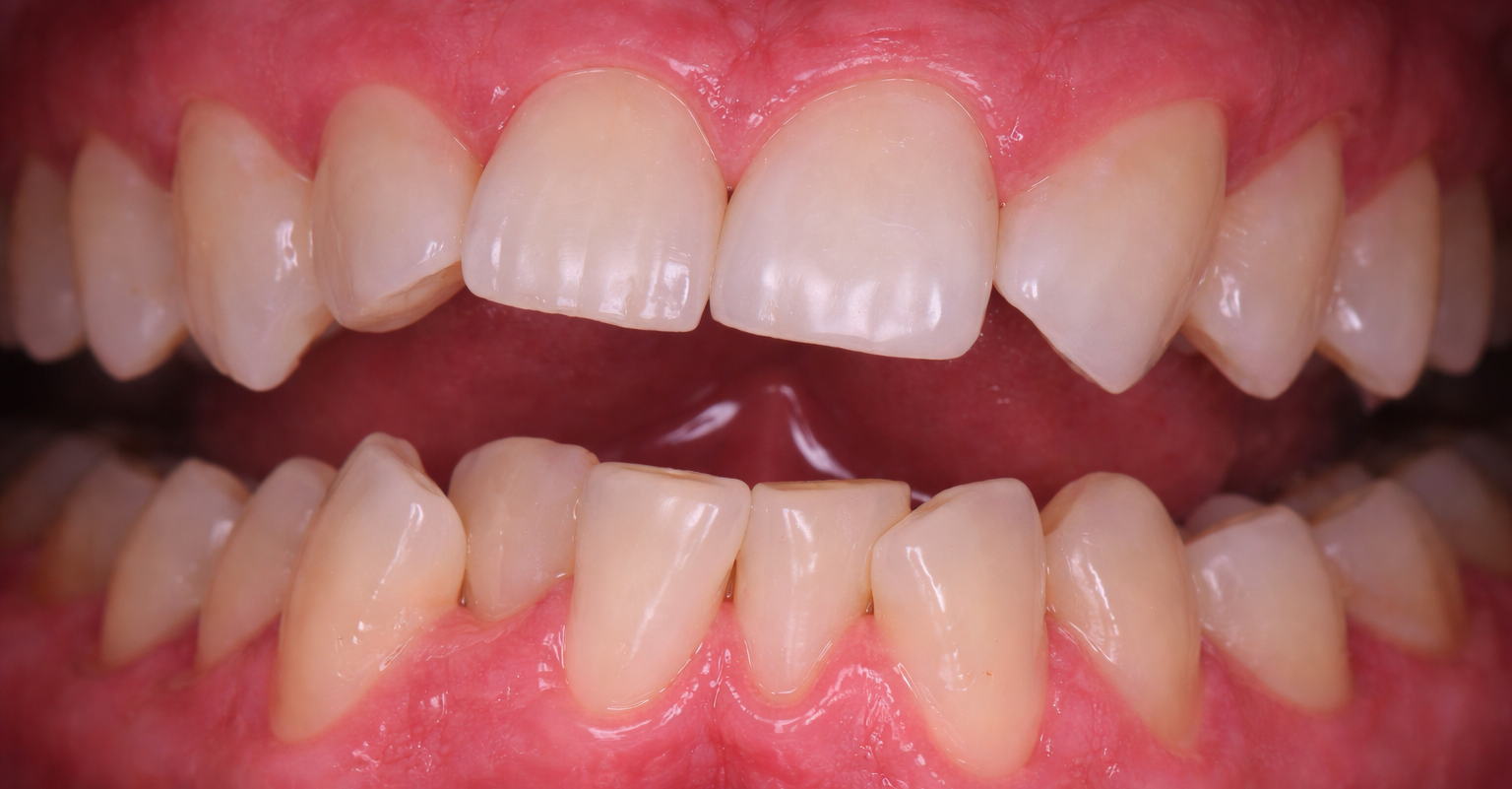
Отсутствие смыкания
При смыкании челюстей между зубами остаётся промежуток — это нарушает прикус и может влиять на жевание.


До
После


До
После
Скученность
Из-за нехватки места зубы располагаются слишком близко, смещаются и становятся неровными.
Консультация и диагностика
Осматриваем зубы, прикус и делаем цифровую диагностику
Подбираем оптимальный вариант лечения

Подбор системы
Выбираем элайнеры или брекеты под ваш случай и бюджет
Объясняем, как будет проходить лечение

Подготовка зубов
Лечим, делаем чистку и готовим зубы к установке
Для безопасного и эффективного лечения

Установка
Фиксируем брекеты или выдаём элайнеры
Показываем, как правильно ухаживать
Контроль лечения
Регулярно проверяем результат и корректируем лечение
Чтобы зубы двигались правильно
Завершение и результат
Снимаем систему, фиксируем результат
И даём рекомендации, чтобы сохранить улыбку
Контакты
📍 Адрес: Санкт-Петербург, ул. Кронштадтская, 4
📞 Телефон: +7 (965) 777-89-77
🌐 Сайт: https://proestetic78.ru
Мы заботимся о вашей улыбке. Запишитесь на прием и убедитесь в этом сами!